A young woman with her hands up near her face, smiling broadly at the camera while standing outdoors during daylight hours.

Smile Gallery

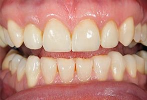
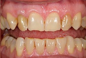
The image shows a close-up of a person s mouth with yellowed teeth and a partial denture.

Before

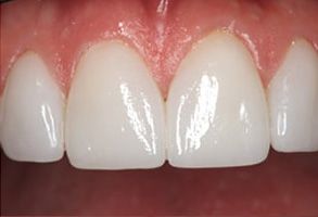
The image shows a close-up of a person s smiling mouth with straight white teeth, and the individual appears to be middle-aged or older.

After

The image shows a close-up view of a person s teeth with an open mouth, revealing a set of yellowed teeth with some gaps between them.

Before

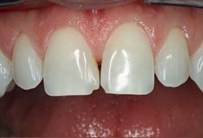
The image shows a close-up view of an individual s teeth, with the top front teeth prominently featured, exhibiting signs of discoloration or staining.

After

The image features a close-up of a person s face with a focus on their teeth, which appear to be well-maintained and possibly enhanced with cosmetic dental work.

Before

The image shows a close-up of a person s mouth with teeth showing, smiling broadly, against a plain background.

After

The image shows a close-up view of a person s teeth with a focus on dental work, possibly indicating a dentist s office or a patient s mouth after treatment.

Before

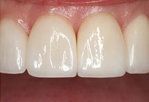
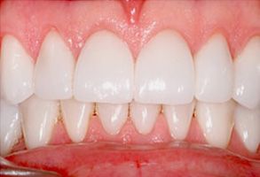
The image shows a close-up of a person s teeth with a focus on the front teeth, which appear white and well-maintained.

After

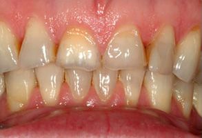
The image shows a close-up view of a person s teeth with a focus on their gums, which appear inflamed and yellowed.

Before

The image shows a close-up of a person s teeth with a focus on their lower front teeth, which appear to be crooked and crowded.

After

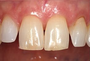
The image shows a close-up view of a person s teeth with visible staining, particularly on the front teeth, which appear yellowed.

Before

The image shows a close-up of a person s teeth with a focus on dental hygiene, featuring white fillings and a clean smile.

After

The image shows a close-up view of a person s teeth with yellowing and staining, which may indicate poor oral hygiene or the effects of tobacco use.

Before

The image shows a close-up view of a person s teeth, with a focus on the lower front teeth, which appear to be discolored or stained, likely due to tobacco use.

After